LÍNEAS ABDOMINALES Método Schroth
LA MALFORMACIÓN ESCOLIÓTICA CONLLEVA UN ESTADO DE ACORTAMIENTOS Y ELONGACION DE LA MUSCULATURA OBLÍCUA ABDOMINAL, FORMANDO LAS DENOMINADAS LÍNEAS DIAGONALES ABDOMINALES.
Las apófisis espinosas de las vértebras (visión posterior) rotan hacia la concavidad de la curva, salvo en un porcentaje muy pequeño "escoliosis atípica" en las que rotan hacia la convexidad. En esta rotación vertebral se ven implicadas las costillas que articulan con las vértebras y que las acompañan en esta rotación.
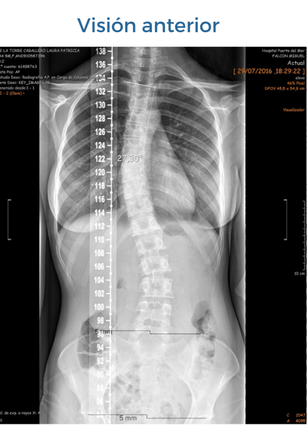
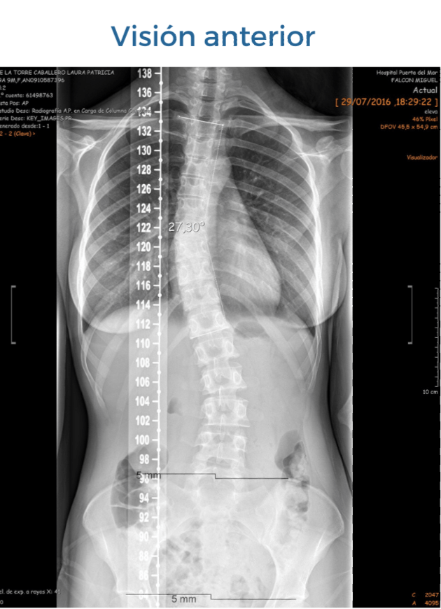
TOMAMOS COMO EJEMPLO UNA ESCOLIOSIS DE CONVEXIDAD DORSAL DERECHA:
Esta rotación a nivel de las últimas costillas (visión anterior) generará un adelantamiento costal bajo izquierdo y la posteriorización del derecho.
Con la pelvis pasará al contrario, la cresta ilíaca del lado izquierdo estará posteriorizada y la del lado derecho anteriorizada.



Esta asimetría se representa con líneas abdominales que van desde la última costilla anterior, hasta la cresta ilíaca contraria.
El músculo oblícuo externo derecho (a) y el oblícuo interno izquierdo (b) se hallan sobreelongados. Y los contrapuestos (c) y (d) se hallan en acortamiento.

EJERCICIOS PARA LAS LÍNEAS ABDOMINALES
Los ejercicios Schroth de las líneas diagonales van a favor de restablecer el equilibrio muscular dentro de las posibilidades que permite la malformación escoliótica.

OBJETIVOS:
-Elongar el segmento c-d
-Acortar del segmento a-b
-Extensión segmento c-b
EN CADA EJERCICIO INCLUIMOS LA RESPIRACIÓN DESROTATORIA SCHROTH Y LAS CUÑAS DE CORRECCIÓN


EJERCICIO DE AUTOELONGACIÓN DE LA LÍNEA c-d











